Open surgical revision of radial nerve after humeral fracture in polytrauma
Keywords:
humerus, radial nerve, fracture, politraumaAbstract
Aim of the study: The injury of the radial nerve is not uncommon in humeral shaft fractures. These lesions may be of different types and levels and their treatment changes depending on traumatic characteristic. The authors present a case report of a patient affected by a closed shaft humeral fracture, consequence of an high energy trauma, associated with motor palsy of the radial nerve in which an open surgical revision was performed. The nerve appeared medially displaced and entrapped within the fracture fragments and the fibrous tissue around the lesion and showed signs of posttraumatic suffering without disruption. The nerve was repositioned in its anatomical site after neurolysis and intramedullary nailing of the humeral fracture. The fracture healed after 4 months with full recovery of motor function of the radial nerve.We believe that, in shaft fractures of the humerus with radial nerve deficits, it is imperative to perform surgical exploration of the conditions of the radial nerve itself, in order to obtain a recovery of its functionality.
Downloads
Additional Files
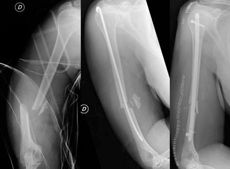
- Fig. 1. Fracture of the middle third of the humerus in the left picture, in the middle picture urgent stabilization with intramedullary Rush nail, in the picture on the right the stabilization with locked intramedullary nail during the simultaneous revisi
- Fig. 2. Intraoperative picture: on the left the isolation of dislocated radial nerve, neurolysis in the center and repositioning on the right picture
Published
Issue
Section
License
This is an Open Access article distributed under the terms of the Creative Commons Attribution License (https://creativecommons.org/licenses/by-nc/4.0) which permits unrestricted use, distribution, and reproduction in any medium, provided the original work is properly cited.
Transfer of Copyright and Permission to Reproduce Parts of Published Papers.
Authors retain the copyright for their published work. No formal permission will be required to reproduce parts (tables or illustrations) of published papers, provided the source is quoted appropriately and reproduction has no commercial intent. Reproductions with commercial intent will require written permission and payment of royalties.

